стройгид
  • Разделы
    • Полы и напольные покрытия
    • Идеи для кухни
    • Баня и сауна
    • Для дачи и частного дома
    • Ландшафтный дизайн
    • Советы и решения

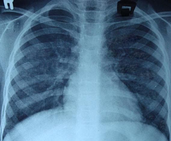
Рентгенологические признаки гемосидероза легких


Раздел: Сокровищница опыта
Популярные разделы:
Полы и напольные покрытия
Идеи для кухни
Баня и сауна
Для дачи и частного дома
Ландшафтный дизайн
Советы и решения
Смотрите еще:
Автомобили Infiniti: Модель G50
Основные типы экономических задач: примеры и решения
Размер одежды для мужчин: 35 см
Вычисление объема: примеры и иллюстрации
Иллюстрации к стихотворению Некрасова Зима. Крестьянин
Лексическое значение слова благодать
Условия и преимущества карты Тинькофф Мастеркард
Элегантные новогодние бланки для праздничных писем
Copyright © 2010 - 2025 | Отказ от ответственности